Santé

Le dépistage est essentiel

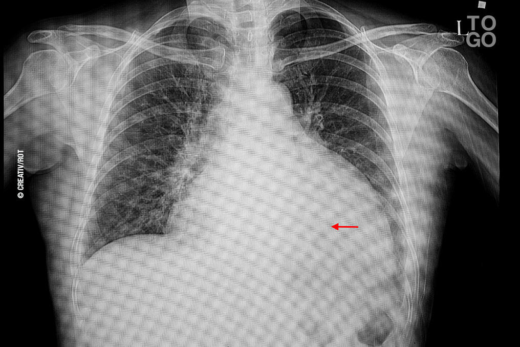
Un film de rayons X sur la poitrine d'un patient avec une cardiomégalie

L'hypertrophie du cœur touche de plus en plus de togolais.

Aussi appelée cardiomégalie, il s’agit d’un accroissement de la taille du cœur. 

Ce n'est pas une maladie à proprement parler, mais plutôt un signe qu'un autre problème de santé affecte le cœur.

‘10% des hospitalisations sont dues à cette pathologie’, indique le cardiologue Akondo Djato, spécialiste de cette maladie.

La cardiomégalie est à l’origine de 60% des insuffisances cardiaques, dont 12% chez les femmes enceintes.

Cette hypertrophie peut rester asymptomatique des années.

Le spécialiste préconise donc un dépistage précoce, seule solution pour éviter des problèmes beaucoup plus graves.

Pour que ce site Web fonctionne correctement et pour améliorer votre expérience d'utilisateur, nous utilisons des cookies. Retrouvez plus d'informations dans notre Gestion des cookies.

  • Les cookies nécessaires activent les fonctionnalités de base. Le site Web ne peut pas fonctionner correctement sans ces cookies et ne peut être désactivé qu'en modifiant les préférences de votre navigateur.