Médias

Ces gestes du quotidien qui détruisent vos gencives

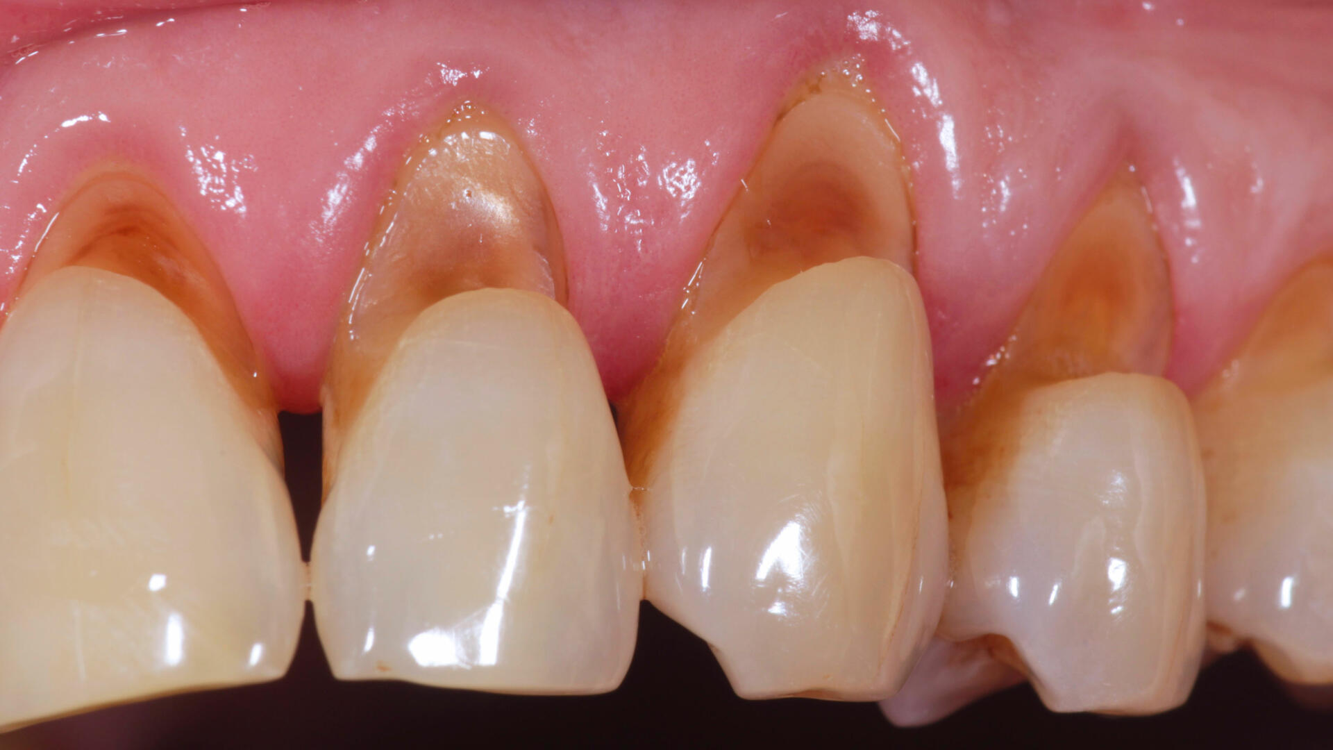
Le déchaussement des gencives, aussi appelé récession gingivale, est un problème de santé bucco-dentaire courant mais souvent ignoré, jusqu’à l’apparition de douleurs, de sensibilités ou même de pertes dentaires.

Le déchaussement dentaire n’est pas une fatalité © republicoftogo.com

Le déchaussement des gencives, aussi appelé récession gingivale, est un problème de santé bucco-dentaire courant mais souvent ignoré, jusqu’à l’apparition de douleurs, de sensibilités ou même de pertes dentaires.

Togo Matin s’est penché sur les causes principales de ce phénomène préoccupant.

1. Un brossage trop agressif

C’est l’une des erreurs les plus fréquentes : penser que frotter plus fort rend les dents plus propres. Or, un brossage vigoureux ou l’utilisation d’une brosse à dents à poils durs peut endommager l’émail et irriter les gencives, entraînant à la longue leur rétractation.

2. Une mauvaise hygiène bucco-dentaire

À l’inverse, négliger le brossage ou oublier le fil dentaire permet à la plaque dentaire et au tartre de s'accumuler. Ces dépôts favorisent l’inflammation des gencives (gingivite), qui, si elle n’est pas traitée, évolue vers une parodontite et provoque le déchaussement.

3. Le tabac, un ennemi silencieux

Le tabagisme affaiblit le système immunitaire et ralentit la guérison des tissus gingivaux. Il contribue aussi à masquer les signes d'inflammation, retardant ainsi la détection des maladies parodontales.

4. Le bruxisme ou grincement des dents

Ce trouble, souvent nocturne, exerce une pression excessive sur les dents et les gencives, causant des microtraumatismes. Avec le temps, il fragilise l’ancrage des dents.

5. Des traitements ou prothèses mal adaptés

Une couronne mal ajustée, un appareil dentaire mal positionné ou encore des obturations trop volumineuses peuvent créer des points de friction ou empêcher un nettoyage efficace, ce qui peut entraîner une inflammation locale.

6. Des facteurs génétiques ou hormonaux

Certaines personnes sont génétiquement prédisposées à une gencive fine, plus vulnérable à la récession. Chez les femmes, les variations hormonales (puberté, grossesse, ménopause) peuvent également fragiliser les tissus gingivaux.

Information additionnelle

Togo Matin N°1482.pdf

Télécharger

Pour que ce site Web fonctionne correctement et pour améliorer votre expérience d'utilisateur, nous utilisons des cookies. Retrouvez plus d'informations dans notre Gestion des cookies.

  • Les cookies nécessaires activent les fonctionnalités de base. Le site Web ne peut pas fonctionner correctement sans ces cookies et ne peut être désactivé qu'en modifiant les préférences de votre navigateur.